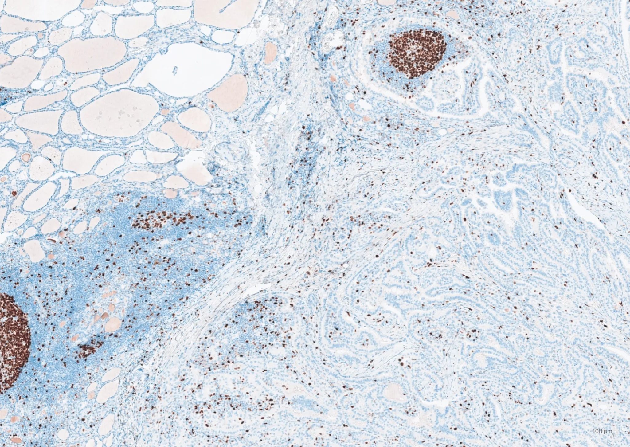
Description
- Qanti® Thyroid Ki-67 is designed to assist anatomic pathologists in the quantitative cell counts and Ki-67 proliferation index in various thyroid tumors, including papillary thyroid carcinoma (PTC), follicular neoplasm (FN), and medullary thyroid carcinoma (MTC).
Scoring System
- Proliferation index (Positive tumor cell / Total tumor cell)
Performance
- Correlation coefficient > 0.9








